Cabinet dentaire du Docteur Jacques Hassid
Chirurgien-Dentiste à Colmar (68)
ACCUEIL
CABINET
ACCÈS
URGENCES
VIDÉOS
FICHES CONSEILS
PRÉ-RDV
8 rue d'Orbey, 68000 Colmar
+33 3 89 79 71 22
Cabinet dentaire du Docteur Jacques Hassid
Chirurgien-Dentiste à Colmar (68)
ACCUEIL
CABINET
ACCÈS
URGENCES
VIDÉOS
FICHES CONSEILS
PRÉ-RDV
Blog - Page 33
Maxillaire all-on-6
EN SAVOIR PLUS
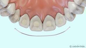
Fil de contention
EN SAVOIR PLUS
Conséquence de la perte des dents postérieures
EN SAVOIR PLUS
Protocole de dévitalisation d'une dent ou traitement endodontique
EN SAVOIR PLUS
Parodontite et formation de la poche parodontale
EN SAVOIR PLUS
Le surfaçage
EN SAVOIR PLUS
Affichage des articles 193-198 sur 206
‹
1
2
…
27
28
29
30
31
32
33
34
35
›
Rechercher dans le blog Blog
À la une
(6)
Fiches Conseils
(5)
Informations pratiques
(8)
L'équipement du cabinet dentaire
(4)
L'orthodontie
(24)
Les choix esthétiques
(9)
Les dents chez l'adulte
(6)
Les dents de l’enfance à l’adolescence
(13)
Les dents et la santé
(22)
Les gencives
(23)
Les implants
(25)
Les pathologies bucco-dentaires
(29)
Les prothèses
(35)
Omnipratique
(191)
Prendre soin des dents
(20)
PRESSE
(4)
EN SAVOIR PLUS
Politique de confidentialité et charte cookie
Mentions légales
Conditions Générales Utilisation
Charte déontologique
Ordre national
Annuaires chirurgiens dentistes
CONTACT
8 rue d'Orbey
68000
Colmar
+33 3 89 79 71 22
COORDONNÉES
Création par
Connexion
Vidéo en cours de lecture