Cabinet dentaire du Docteur Jacques Hassid
Chirurgien-Dentiste à Colmar (68)
ACCUEIL
CABINET
ACCÈS
URGENCES
VIDÉOS
FICHES CONSEILS
PRÉ-RDV
8 rue d'Orbey, 68000 Colmar
+33 3 89 79 71 22
Cabinet dentaire du Docteur Jacques Hassid
Chirurgien-Dentiste à Colmar (68)
ACCUEIL
CABINET
ACCÈS
URGENCES
VIDÉOS
FICHES CONSEILS
PRÉ-RDV
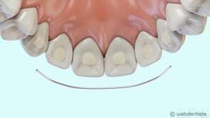
Fil de contention
Vidéos 3D
Suivant
Traitement multi-attaches
Articles similaires
Traitement multi-attaches
Vidéos 3D
Conseils pratiques pour une bonne hygiène bucco-dentaire avec un appareil
Vidéos 3D
Carriere motion classe ii
Vidéos 3D
Traitement orthodontique : les règles du succès
Vidéos 3D
Partager
Twitter
Partager
Partager
Envoyer
Copier
À la une
(6)
Fiches Conseils
(5)
Informations pratiques
(8)
L'équipement du cabinet dentaire
(4)
L'orthodontie
(24)
Les choix esthétiques
(9)
Les dents chez l'adulte
(6)
Les dents de l’enfance à l’adolescence
(13)
Les dents et la santé
(22)
Les gencives
(23)
Les implants
(25)
Les pathologies bucco-dentaires
(29)
Les prothèses
(35)
Omnipratique
(191)
Prendre soin des dents
(20)
PRESSE
(4)
EN SAVOIR PLUS
Politique de confidentialité et charte cookie
Mentions légales
Conditions Générales Utilisation
Charte déontologique
Ordre national
Annuaires chirurgiens dentistes
CONTACT
8 rue d'Orbey
68000
Colmar
+33 3 89 79 71 22
COORDONNÉES
Création par
Connexion